Cirurgiã dentista, mestre pela UNESP de São José dos Campos e especialista em periodontia pela USP, a Dra. Rafaela dedica sua carreira ao estudo, diagnóstico e tratamento de doenças relacionadas à gengiva.
Realizou também parte importante da sua formação no Hospital das Clínicas da Faculdade de Medicina da USP, onde especializou-se para atender de forma segura pacientes com os mais variados problemas de saúde e em uso de todos os tipos de medicação, em ambiente ambulatorial (consultório), domiciliar (home care) e hospitalar.
Todo paciente, mesmo sem queixas bucais, deve passar por exame periodontal anualmente!
Algumas doenças bucais, como a periodontite, são silenciosas e só podem ser identificadas através de exame odontológico detalhado, que inclui a sondagem periodontal e a avaliação radiográfica.
Esses procedimentos permitem que o dentista verifique como estão os tecidos por baixo da gengiva, identifique qualquer doença o mais precocemente possível e inicie o tratamento o quanto antes.
Check up odontológico
Em algumas regiões mais “difíceis” de escovar, sempre acaba ficando algum resíduo de placa bacteriana, que se não for removida, com a ação da saliva vai calcificar e formar o tártaro, que causa inflamação da gengiva e, em alguns casos, perda irreversível da gengiva e osso subjacentes.
O objetivo da limpeza e polimento é deixar as superfícies dos dentes limpas e lisas, para que as bactérias não se agarrem a elas e você tenha mais chances de manter os dentes limpos durante os cuidados regulares em casa.
É um procedimento indolor, realizado em consultório odontológico com instrumentais especializados para remoção eficiente e rápida dos resíduos grudados nos dentes.
Limpeza (profilaxia)
Raspagem
A despigmentação melânica, também conhecida como peeling gengival, consiste na remoção das manchas de melanina depositadas na camada mais profunda da gengiva.
É um procedimento indolor, realizado em consultório odontológico sob anestesia local e de rápida recuperação para o paciente.
Despigmentação melânica
(peeling gengival)
A alteração do frênulo lingual ou anquiloglossia é popularmente conhecida como língua presa e pode levar a vários problemas, sendo os principais: dificuldades na deglutição e distúrbios da fala.
A frenectomia lingual consiste na remoção cirúrgica do freio a fim de melhorar a mobilidade e a postura da língua.
É um procedimento indolor, realizado em consultório odontológico sob anestesia local e de rápida recuperação para o paciente.
Frenectomia lingual
O freio labial é um tecido que conecta o centro da gengiva superior (entre os dois dentes da frente) ao lábio superior.
Se esse freio descer muito no tecido da gengiva, ele pode atrapalhar o movimento dos lábios e causar um grande espaço entre os dois dentes da frente, além de dificultar a higiene da região e favorecer o desenvolvimento de outros problemas bucais.
A frenectomia consiste na remoção cirúrgica desse tecido. É um procedimento indolor, realizado em consultório odontológico sob anestesia local e de rápida recuperação para o paciente.
Frenectomia labial
O que sustenta nossos dentes na boca são os tecidos periodontais (osso, gengiva, ligamento periodontal e cemento), por isso é tão importante que essas estruturas estejam saudáveis, pois elas são a base do nosso sorriso.
As principais doenças que acometem esses tecidos são: gengivite (inflamação restrita à gengiva) e periodontite inflamação estende-se para osso, causando reabsorção óssea).
O tratamento periodontal consiste na limpeza especializada/ descontaminação de toda superfície dos dentes e da raiz.
Tratamento periodontal
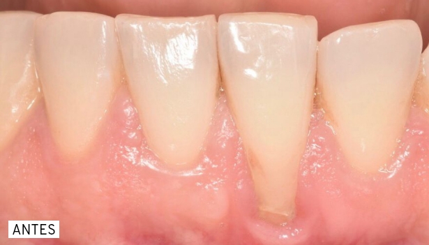
A retração gengival é caracterizada pelo deslocamento da margem da gengiva em direção a ponta da raiz do dente, provocando a exposição da raiz dentária.
Essa alteração causa sensibilidade dental, maior risco de cárie na região e prejuízos estéticos (a região mais escura do dente começa a aparecer no sorriso). Além disso, as retrações gengivais, se não tratadas, tendem a evoluir e isso pode implicar em futura perda dentária. À medida que esses defeitos gengivais evoluem, pior o prognóstico, ou seja, mais difícil recobrir totalmente a raiz exposta.
O tratamento ideal no caso de retrações gengivais é a cirurgia plástica gengival para recobrimento radicular e correção do defeito. O periodontista avaliará, de acordo com cada caso, se a cirurgia é possível de ser realizada e qual técnica é mais indicada.
Na maioria das vezes a cirurgia consiste em colocar um enxerto removido do palato (céu da boca) sobre a raiz exposta e recobri-la com tecido gengival da região retraída. É um procedimento indolor, realizado em consultório odontológico sob anestesia local.
Tratamento de
retração gengival
A gengivectomia é uma cirurgia que tem como objetivo remover o excesso de gengiva sobre os dentes e está indicada tanto nos casos onde o paciente expõe muito tecido gengival ao sorrir,
como em casos onde há a necessidade de correções sutis no contorno gengival.
O crescimento excessivo da gengiva, ocasiona uma sensação de dentes mais curtos, quadrados e de sorriso com aparência infantil, prejudicando a estética do sorriso. Nesses casos, a gengivectomia melhorará o contorno gengival e as proporções entre dentes e gengiva.
O excesso de gengiva também pode dificultar a higiene oral dos pacientes e provocar uma série de doenças e problemas bucais devido ao acúmulo de placa bacteriana (resíduos alimentares e bactérias) sob esse tecido. Nessas situações, a plastia permitirá que o paciente realize a escovação adequada da região e manutenção da gengiva saudável.
Gengivoplastia
Gengivectomia
Aumento de coroa clínica
Tratamento odontológico em ambiente domiciliar e hospitalar
Atendimento odontológico utilizando equipamentos de alta tecnologia para que o paciente seja atendido em casa ou em ambiente hospitalar com a mesma qualidade, segurança e conforto de um consultório.
Destinado aos pacientes que têm dificuldade de deslocar-se até o consultório do dentista.
É realizada uma primeira consulta domiciliar para conhecer o paciente e seu estado de saúde geral, anotar medicações que faz uso, entender suas queixas e necessidades de tratamento.
Após avaliação, é enviado um plano de tratamento para o paciente e sua família.
Retorno à casa do paciente com todos os equipamentos necessários para realização do tratamento.
Idosos frágeis
com limitações físicas
Atendimento odontológico utilizando equipamentos de alta tecnologia para que o paciente seja atendido em casa ou em ambiente hospitalar com a mesma qualidade, segurança e conforto de um consultório.
Destinado aos pacientes que têm dificuldade de deslocar-se até o consultório do dentista.
É realizada uma primeira consulta domiciliar para conhecer o paciente e seu estado de saúde geral, anotar medicações que faz uso, entender suas queixas e necessidades de tratamento.
Após avaliação, é enviado um plano de tratamento para o paciente e sua família.
Retorno à casa do paciente com todos os equipamentos necessários para realização do tratamento.
Pacientes
acamados
Atendimento odontológico utilizando equipamentos de alta tecnologia para que o paciente seja atendido em casa ou em ambiente hospitalar com a mesma qualidade, segurança e conforto de um consultório.
Destinado aos pacientes que têm dificuldade de deslocar-se até o consultório do dentista.
É realizada uma primeira consulta domiciliar para conhecer o paciente e seu estado de saúde geral, anotar medicações que faz uso, entender suas queixas e necessidades de tratamento.
Após avaliação, é enviado um plano de tratamento para o paciente e sua família.
Retorno à casa do paciente com todos os equipamentos necessários para realização do tratamento.
Pacientes
oncológicos
Atendimento odontológico utilizando equipamentos de alta tecnologia para que o paciente seja atendido em casa ou em ambiente hospitalar com a mesma qualidade, segurança e conforto de um consultório.
Destinado aos pacientes que têm dificuldade de deslocar-se até o consultório do dentista.
É realizada uma primeira consulta domiciliar para conhecer o paciente e seu estado de saúde geral, anotar medicações que faz uso, entender suas queixas e necessidades de tratamento.
Após avaliação, é enviado um plano de tratamento para o paciente e sua família.
Retorno à casa do paciente com todos os equipamentos necessários para realização do tratamento.
Pacientes em
cuidados paliativos
Atendimento odontológico utilizando equipamentos de alta tecnologia para que o paciente seja atendido em casa ou em ambiente hospitalar com a mesma qualidade, segurança e conforto de um consultório.
Destinado aos pacientes que têm dificuldade de deslocar-se até o consultório do dentista.
É realizada uma primeira consulta domiciliar para conhecer o paciente e seu estado de saúde geral, anotar medicações que faz uso, entender suas queixas e necessidades de tratamento.
Após avaliação, é enviado um plano de tratamento para o paciente e sua família.
Retorno à casa do paciente com todos os equipamentos necessários para realização do tratamento.
Pacientes com
necessidades
especiais
“A boca faz parte de um organismo e o dentista precisa entender os problemas de saúde que os pacientes apresentam antes de fazer cirurgias, aplicar anestesia e prescrever medicações, para que o tratamento odontológico seja realizado de forma segura e sem risco de complicações.”
Dra. Rafaela Lantyer
Acompanhe a Dra. Rafaela Lantyer no Instagram
The access token could not be decrypted. Your access token is currently invalid. Please re-authorize your Instagram account.
pelo WhatsApp